
1956年,產科醫生Ian Donald首次將超聲波檢查用于臨床。而中國產前篩查則始于九十年代。
雖然起步較晚但是發展非常迅速,不到三十年,中國臨床產前篩查技術已與全球最新技術齊頭并進。
上周日,由南方醫科大學附屬深圳市婦幼保健院、衛健委產前超聲診斷培訓中心主辦,三星(中國)投資有限公司協辦的“胎兒顱腦國際研討會暨《正常胎兒神經系統發育超聲解剖圖譜》新書發布會”以“線下北京深圳雙城主會場+線上20分會場直播交互”的方式隆重舉行。






如今,唐氏篩查已為大眾所熟知,但發生率和嚴重性遠高于唐氏綜合征的胎兒中樞神經系統異常篩查卻仍未普及。提升國民人口質量,這是一場具有重要意義的競速賽。
1、超聲首見胎兒的“腦世界”
中國是人口大國,近30年來,得益于逐步有效控制了危害兒童健康的傳染性疾病,中國嬰兒死亡率持續下降,但出生缺陷問題卻仍是重大公共衛生問題。
根據國家衛健委《中國出生缺陷防治報告》估算,目前中國出生缺陷總發生率約5.6%,以2020全國年出生數1203萬計算,年新增出生缺陷嬰兒約67.3萬例。
而2010年前,中國嬰兒出生缺陷發生率甚至高達14.79%,主要原因是當時中國產前篩查率僅不到20%。

南方醫科大學附屬深圳市婦幼保健院超聲科主任李勝利
“那時產前篩查操作起來非常困難,我們醫生連一個參考都找不到,也沒有太好的設備,檢測精確度不高;但胎兒健康是非常重要的,影響的是整個家庭和社會。”作為國家衛生健康委員會全國產前診斷專家組專家,南方醫科大學附屬深圳市婦幼保健院超聲科主任李勝利現身說法。
比“唐氏畸形”更嚴重的“新生兒殺手”
產前篩查關系到國家的未來。
2016年,國務院發布《健康中國2030規劃綱要》里特別對母嬰安全、優生優育等做了明確指示。
隨著產前篩查技術進步以及大眾健康認知提升,以超聲、基因檢測為代表的二級防控措施逐漸得到普及;2020年中國產前篩查率提高到了77%。

然而即使如此,部分出生缺陷由于檢測技術受限等因素,其發生率仍呈上升態勢,中樞神經系統畸形就是其中“重災區”。
中樞神經系統畸形是胎兒先天性畸形里最常見卻又致死致殘率最高的畸形之一,數據顯示我國出生缺陷總發生率約5.6%,神經系統畸形是最常見的先天性畸形之一,其發生率約為1%(遠高于唐氏綜合征1/600),占先天性胎兒畸形總數20%左右。
中樞神經系統是人體最精細,結構和功能最復雜的系統。
胎兒中樞神經系統在發育過程中會出現先天畸形,包括胎兒的大腦、脊髓、脊柱等。可表現為脊柱裂/隱形脊柱裂,脊髓脊膜膨出,甚至更為嚴重的腦膨出、無腦等嚴重畸形。
李勝利主任告訴醫趨勢,以往研究發現在胎兒26-32周時,通過腦表面溝回的正確評估可成為診斷中樞神經系統發育異常的重要線索。
超聲檢查作為診斷先天性中樞神經系統畸形的主要手段已有近30年歷史。
2007年,國際婦產超聲學會(ISUOG)頒布的第一版《胎兒中樞神經超聲檢查指南》里指出:胎兒神經系統專項檢查(神經超聲學檢查)比初級篩查具有更大的診斷價值,特別有助于診斷復雜畸形。
胎兒大腦復雜而神秘,由于受到母體結構等因素影響,在臨床超聲檢查工作中,普通二維超聲和三維超聲很難精確觀測到胎兒大腦溝回發育的動態變化。
直到近年來,三維水晶成像技術出現,才為胎兒大腦表面溝回的正確評估提供了可能。
期待已久的《正常圖譜》
作為三維水晶成像技術的開創者,三星此次協辦的“胎兒顱腦國際研討會”專門邀請到了南方醫科大學附屬深圳市婦幼保健院李勝利教授、意大利帕爾馬大學Tullio Ghi教授、湖北省婦幼保健院陳欣林教授、北京師范大學認知神經科學與學習國家重點實驗室左西年教授以及山東大學斷層影像解剖學研究中心主任、腦與類腦科學研究院副院長、數字人研究院院長劉樹偉教授等眾多專家學者,特別就“三維水晶反轉成像在胎兒顱腦發育診斷中的應用”、“超聲創新血管技術在胎兒顱腦研究中的應用”、“MV-Flow(銳微成像)在胎兒和新生兒頭顱的臨床應用”、“兒童腦發育圖表”以及“胎兒腦圖譜的發展”發表演講與深度交流,多名國內資深專家積極參與討論,梳理了目前胎兒顱腦研究和孕檢的現狀,并為未來胎兒顱腦的研究和孕檢的進一步提升和完善指明方向。

三星電子大中華區醫療事業部總裁 原瑜博士
三星電子大中華區醫療事業部總裁原瑜博士表示,對于胎兒顱腦發育和孕檢的不斷發展和完善,國內外諸多專家和學者做出了巨大貢獻。李勝利教授首先用反轉水晶成像首次系統地研究了正常胎兒腦溝回隨孕周發展的變化,促成了《正常胎兒神經系統發育超聲解剖圖譜》的出版和發行,也充分說明隨著超聲性能的不斷提高及新技術的不斷涌現,可以進一步拓展對胎兒顱腦發育的認知邊界,進一步推動對胎兒顱腦發育的結構及血流變化和功能的研究。三星超聲在新上市的赫拉系列W10(XW10)及W9(XW9)上搭載不少創新技術和功能,諸如水晶成像CrystalVue和銳微成像MV-Flow等,力爭為各位專家學者和廣大用戶在胎兒顱腦的研究和孕檢工作中做出貢獻。
此次《正常胎兒神經系統發育超聲解剖圖譜》得以成功發布,也正是依托了三星獨特的三維水晶成像技術,歷時多年,累計數千個病例,凝聚了中國婦產超聲領域經驗和智慧。

作為《圖譜》的主編李勝利主任對此感慨頗深,他表示,大腦溝回是非常復雜的,之前超聲醫生在實際臨床工作中沒有正常結構做參照,很難對異常結構做出判斷;如今填補了此前超聲掃查胎兒大腦溝回發育正常圖譜的空白。
2、神奇的“三維水晶成像”究竟是什么?
目前而言,二維超聲通過切面成像,仍然是超聲醫師的主要診斷途徑;三維、四維超聲通過
提供立體結構和動態圖像,成為重要的輔助診斷。
隨著醫用超聲技術性能提升,以及超聲醫生診斷水平的提高,2021年,國際婦產超聲學會ISUOG對《胎兒中樞神經超聲檢查指南》進行了更新,其中特別強調了三維超聲在胎兒專項神經超聲檢查中的重要性。
多次榮登全球權威雜志UOG期刊封面的神奇技術
水晶成像CrystalVue技術為超聲診斷提供了全新的三維圖像,也為醫生提供了一個前所未有的超聲視角。

2015年10月,三星的CrystalVue技術在第25屆世界婦產超聲大會上首次推出,便引起全球轟動。此后這一技術在臨床中的應用更是多次榮登國際婦產超聲學會ISUOG期刊封面,成為三維超聲領域的風向標。
CrystalVue是一種全新的容積渲染成像方式。在三維成像基礎上,可同時顯示容積圖像的外部輪廓及內部結構,區分軟組織和骨結構,有多種模式可以更好的顯示不同軟組織和結構,進一步提升超聲掃查的精準度。
水晶成像:增強對比度,可更容易地區分不同回聲性質的組織;
反轉成像:原高回聲反轉后能夠清晰的將線狀腦溝顯示為暗線,原低回聲反轉后能使腦回區域顯示的更加明亮;
仿真成像:照明系統使顱腦表面凹凸不平的部分更加立體,正確傳遞皮質折疊程度的信息。
該項技術可以應用于諸多領域,包括:
子宮及卵巢畸形;胎盤植入,瘢痕妊娠等;早孕期孕囊及胎芽顯示;以及胎兒顏面部、骨骼系統、循環消化系統、神經系統異常等。
大大增強了精細結構的可視化觀察效果,顯著提升檢查者的診斷信心。

胎兒顏面部畸形評估:CrystalVue可以清楚地看到胎兒鼻骨缺失的情況(白色箭頭)。
胎兒骨骼系統異常:CrystalVue可顯示脊髓神經管,提供更清晰直觀的脊柱裂圖像。
胎兒循環系統,消化系統等疾病的異常:CrystalVue可顯示正常胎兒食道及胃泡、胎兒食道閉鎖。
助力胎兒中樞神經系統篩查,三星有三大利器
在最難攻克的胎兒中樞神經系統篩查領域,對胎兒顱腦的結構、組織邊界和血流的精確評估成為診斷關鍵。
三星擁有攻克這一堡壘的三大利器。
利器1:三星創新技術解決胎兒顱腦超聲檢查中結構的遮擋。
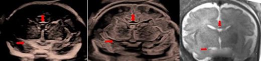
利器2:CrystalVue技術可清晰顯示內部組織結構,如透明隔腔側腦室后角,以及胼胝體,海馬溝等,精準區分組織邊界;

水晶成像顯示透明隔腔側腦室后角

水晶成像顯示胼胝體,海馬溝
此外,在早孕期胎兒中樞神經系統檢查,CrystalVue還能為腦室系統提供全新的三維成像,更早的了解神經發育變化,評估和診斷胎兒中樞神經系統異常;反轉水晶成像更好顯示胎兒大腦溝回。

早孕期 胎兒腦室三維成像
利器3:MV-Flow銳微成像、LumiFlow銳彩成像技術可非常靈敏顯示微小血管和超低速血流,清晰顯示胎兒顱內靜脈系統,配合對胎兒顱內竇匯(TH)的顯示可作為評估小腦幕位置改變的間接征象。



在臨床實踐與企業創新長久以來的深度合作下,這些之前非常困難的病例如今都可以被直觀的顯示,有效增加了診斷的精準度。
3、厚積薄發,做超聲行業“創新者”
發揮三星集團優勢,三星醫療推動技術創新;在肥沃的土壤才能種出優異的果實。
三星集團是世界500強頭部企業,旗下產業涉及半導體、電子、金融、機械、化學、AI、大健康等眾多領域。尤其在半導體、大數據、AI等領域,無論是專利還是研發團隊都位居世界前列。
三星醫療充分發揮三星集團雄厚實力,以解決醫學臨床的痛點和癢點為目標,借助在半導體、圖像顯示、人體工程學、大數據、AI賦能等領域的技術優勢,與全球多位行業內專家學者合作,研發了一系列具有臨床價值的創新技術和功能,助力超聲行業發展,為醫學發展做貢獻。
三星醫療中國市場1.0階段:幫助超聲行業培養合格人才,緩解超聲醫生短缺的問題
“做中國人民喜愛的企業”,是三星集團在中國的價值體現。
如何更好的“融入”中國市場成為近些年來外企的共同戰略目標,三星醫療也不例外。從開始進入中國市場以來,三星醫療在中國超聲市場一直努力做好兩件事,一是助力超聲人才培訓、二是支持超聲業界科研探索。
原瑜博士告訴醫趨勢,區別于其他醫療設備,超聲醫學對超聲掃查者的操作水平依賴程度很高,而培養一名合格超聲醫生的過程復雜且耗時,制約了超聲醫生隊伍的快速建設與成長。
結合自身優勢和中國臨床實際痛點,針對超聲醫生培養特點,三星醫療成功研發了一套超聲智能培訓系統,極大提升了培訓效率。截止目前,三星已在中國建立了19所智能培訓學校,在政府支持和專家積極參與下,三星與中國健康促進基金會共同舉辦170多場培訓班,培訓了近1萬名合格的超聲醫生。
而作為科研上的合作,三星醫療利用創新技術與國內專家開展系列臨床應用研究,并建立與國際醫學領先機構和專家的合作關系,傾聽他們的需求,助力臨床科研成果轉化,比如此次發布的《圖譜》也是重要成果之一。原瑜博士表示,由企業鏈接起人才和科研,才能實現行業的可持續發展。
三星醫療中國市場2.0階段:用創新和“性價比”贏得市場認可
“專科化+智能化+AI賦能”可能是醫療超聲的未來趨勢。
2020年,專科超聲約占中國市場50%,其中婦產科超聲約占20%-25%左右。契合彩超專科化發展趨勢,目前高端超聲設備主要集中在心臟超聲、婦產科四維超聲領域。

近年來一系列政策都釋放著同一個信號,中國生殖市場將大大擴容,與之相關的醫療產業也將迎來更多機遇,包括孕檢及新生兒超聲篩查等。
國務院發布的“健康中國行動(2019-2030)”規定,到2030年產前篩查率要達到80%以上;
看起來似乎是一塊大蛋糕,然而現實或許沒那么豐滿。考慮到人口結構,未來城市尤其是一二線城市的生育率走向并不樂觀。現階段,孕婦新生兒篩查市場規模的擴張動力或將主要來自于縣域市場。
作為婦產超聲領域的頭部企業,三星醫療除了在繼續支持行業人才培養之外,搭載了一系列創新功能的新產品在引進中國市場,同時快速推進同等質量產品的國產化進程,助力中國超聲行業的健康發展。
原瑜博士表示,全新系列產品將搭載更多人工智能和行業首創的功能。用領先技術和高性價比滿足中國市場的需求;從婦產超聲,到心臟、腫瘤,以及全身超聲等各領域。
在“三星醫療”們的創新科技下,臨床醫生得以洞悉許多此前不可預知的“微觀世界”。
以此為基,人類宏觀世界的改變需要更多企業、臨床專家、科研學者的共同努力。
